您好,欢迎访问江苏育瑞康生物科技有限公司
行业新闻

行业新闻

联系我们

江苏育瑞康生物科技有限公司

联系人:客服部——陆女士
电 话:400-859-2227
地 址:江苏省南京市建邺区河西大街71号

干细胞可以治疗阿尔兹海默症吗?

发布时间:2023-09-04


干细胞治疗效果



阿尔兹海默症临床表现为进行性痴呆、记忆力的衰退和认知功能的减退,往往智力越来越退化,缓慢而痛苦地带走一个人的认知、思考,行动能力,最终尊严跌到谷底,病人及亲人都承受着巨大的痛苦。


疾病终末阶段,患者会完全丧失日常行为能力,包括穿衣和进食。终日卧床无语,四肢出现强直或屈曲瘫痪,大小便失禁。此期的患者容易因肺部及尿路感染、压疮以及全身衰竭状态等并发症而导致死亡。


该疾病给人类医学带来了前所未有的挑战,众多临床专家、研究员纷纷想寻求一种有效、精准的方法治疗该疾病。目前老年痴呆常用药物的治疗作用主要集中在维持退化的神经元功能,并不能真正的治愈该疾病。


图片
图片


对于老年痴呆等神经退行性疾病,以干细胞为核心的再生医学带来了治疗的新希望此前,发表在《Neural Regen Res》杂志上文章阐述这样一个观点——干细胞治疗提供一个能够“治愈”神经退行性疾病的潜在机会。


1

干细胞神经元再生

成为治疗老年痴呆的希望



解铃还须系铃人,对于这类神经元退行性疾病的根本治疗手段,还需从神经元入手,是否寻找到弥补患者脑内神经元数量减少的办法,以此最终达到缓解甚至阻断该疾病发展的目的。早在1998年,人类首次将目光投在了“干细胞”身上,自此,干细胞便背负了治疗老年痴呆的使命。越来越多的科研人员将干细胞利用到老年痴呆的治疗研究当中。


图片


干细胞是一类潜力巨大的细胞,它具有自我更新能力和多向分化能力,能够分化为神经元、星形胶质细胞以及少突胶质细胞等多种脑细胞。正是基于这项契机,干细胞为治疗老年痴呆带来了新的希望。


2

大批干细胞

临床实验正在进行中



目前全球已开展大量有关干细胞治疗老年痴呆的临床试验,近期一项发表于国际学术期刊《Advanced Science》上的文章表示:脐带间充质干细胞(hUC-MSCs)具有修复损伤神经细胞的功能,能够通过HGF-cMet-AKT-GSK3β通路调节tau蛋白磷酸化,显著提高阿尔茨海默病模型动物的学习记忆和认知能力。


图片


2020年7月6日,国际学术期刊《Advanced Science》在线发表了军事科学院军事医学研究所和华南干细胞与再生医学研究中心的最新研究成果“HGF介导临床级人脐带间充质干细胞改善功能恢复在衰老加速的阿尔茨海默病小鼠模型中”。


图片


研究证明:脐带间充质干细胞 (hUC-MSCs)具有修复损伤神经细胞的功能,能够通过HGF-cMet-AKT-GSK3β通路调节tau蛋白磷酸化,显著提高阿尔茨海默病模型动物的学习记忆和认知能力。


2018年3月初,韩国生物技术公司Nature Cell宣布,该公司旗下干细胞研究机构Biostar在美国已经开始开展一项名为“ASTROSTEM”的干细胞药物的I/II期临床试验,通过静脉注射相应干细胞10次(1亿细胞/次)的方式来治疗阿尔茨海默病,而这也是在干细胞疗法开发上的里程碑事件。


与此同时,该干细胞药物获批在日本福冈三一诊所(TrinityClinic Fukuoka)商业化使用。同年4月12日起,该诊所可开始使用干细胞药物治疗阿尔茨海默病,使之成为全球首个干细胞药物治疗阿尔茨海默病。


图片


目前,国外学者开展了临床Ⅰ期的实验,将NGF联合NSCs移植到AD患者双侧海马和一侧楔前叶(低剂量3.0×10^6个细胞和高剂量6.0×10^6个细胞),事实证明,神经干细胞移植是安全可行的方法9名受试者未发生干细胞相关的不良反应,移植高剂量患者比回输低剂量患者记忆能力改善更好,在后期两年随访实验中,未见脑出血、肿瘤形成及其他生理生化指标异常。


目前,在http://clinicaltrial.gov上共有23项利用干细胞治疗阿尔茨海默病的临床试验。移植的干细胞涉及骨髓来源的间充质干细胞和神经干细胞等,其中包括中国北京血液干细胞移植中心、广州西南干细胞和再生医学研究中心等的临床试验的注册项目。


图片


众多的临床前试验表明干细胞移植治疗阿尔兹海默病不仅能够调节脑内炎症性环境,而且促进神经再生和突触连接,有效改善病症。而人体临床试验也证明其安全性。


在我国,干细胞治疗老年痴呆等神经退行性疾病也备受关注。2021年8月,北京市卫健委印发的《首都卫生发展科研专项2022年申请指南》提出,针对八类疾病鼓励开展干细胞治疗的相关研究,并给予市财政专项经费资助,其中就包括了神经退行性疾病。


图片


3

我国已发表多个干细胞治疗

老年痴呆临床研究结果



我国同样开展了不少干细胞治疗老年痴呆的临床研究并且发表文献。中山大学附属医院为12名确诊为老年痴呆的患者输注间充质干细胞治疗,结果显示其总有效率高达100%,其中具有显著疗效有10例患者,有疗2例。


另外,根据发表的文献,济南长城医院干细胞治疗中心联合多个单位为10例老年痴呆患者进行自体骨髓间充质干细胞移植治疗。治疗后,经干细胞治疗的患者在平均简易智能测试方面表现更为优异,记忆力、认知功能及日常生活活动能力均得到明显改善。


图片

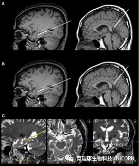
△ 干细胞注射途径


不仅如此,干细胞输注治疗安全可行。一项“立体定向脑内注射人间充质干细胞治疗AD病人”的临床试验结果表明,在治疗结束后的24个月随访时间内,患者没有出现与干细胞治疗相关的严重的不良反应。


图片

△ 立体定向注射


图片

淀粉样蛋白负荷、葡萄糖代谢及CFS生物标志物水平


4

干细胞通过多途径

发挥治疗效果



那么干细胞是通过哪些途径发挥治疗作用的呢?经过多次研究证实,干细胞主要通过以下3种途径发挥疗效:


(1)直接分化为神经元,代替受损的神经细胞,重建神经通路;


(2)分泌神经营养因子,营养和保护胆碱能神经元,进一步促进内源性神经元再生;


(3)旁分泌免疫调节因子抑制炎症反应,降低炎性因子的释放,减少β-淀粉样蛋白。


综上所述:阿尔茨海默症是全球性的疾病,随着社会的老龄化趋势,该病预防和治疗将越来越被关注。间充质干细胞是目前研究最多的干细胞类型之一,众多试验结果表明其治疗阿尔兹海默病时不仅能够调节脑内炎症性环境,而且促进神经再生和突触连接,可以有效改善病症,提高患者生活质量,为更多老年人带来福音。


标签: